45% of prosthodontic procedures could benefit from pre-restorative tooth alignment.1




“I have to fix their teeth alignment first which allows for a better treatment outcome.”
Dr Masami Arai, Japan


Unlock restorative dentistry resources


eBook : Redefining value for your patients with dental restorations built to last
Discover how patients are increasingly willing to invest in treatment, when they understand the long-term benefits, and how visualisation can help you unlock that potential.


Module 1 of Treatment Guide:
Tooth repositioning with clear aligner therapy for comprehensive dentistry
Discover tooth movement and its impact on oral health, aesthetics and function.
Why integrate pre-restorative tooth movement into your practice?


Achieve long-lasting and stable outcomes
Pre-restorative alignment prevents interference with malocclusion, clearing heavy contacts, providing a stable occlusion foundation, allowing for a functionally stable and long-lasting restorations.2,3,4


Respond to growing demand
Patients today are willing to invest in comprehensive treatments as they see the value in minimally invasive approach that preserve natural tooth structure and achieve durable, long lasting restorations.


Accelerate practice growth
45% of restorative procedures could benefit from tooth movement1. Unlock this opportunity for your practice.


Achieve long-lasting and stable outcomes
Pre-restorative alignment prevents interference with malocclusion, clearing heavy contacts, providing a stable occlusion foundation, allowing for a functionally stable and long-lasting restorations.2,3,4


Respond to growing demand
Patients today are willing to invest in comprehensive treatments as they see the value in minimally invasive approach that preserve natural tooth structure and achieve durable, long lasting restorations.


Accelerate practice growth
45% of restorative procedures could benefit from tooth movement1. Unlock this opportunity for your practice.
Case example: Discover the clinical impact of pre-restorative alignment
In this case, the Invisalign system is used to make space for an anterior implant.


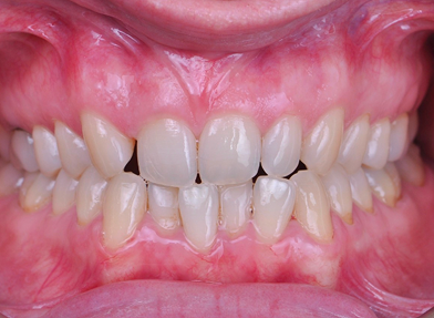
Initial:
The patient presented with Class I malocclusion, crowding, edge to edge bite, missing 1.2 and narrow arches. The main goal of treatment was the treatment was opening 1.2’s implant space.


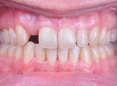
Post pre-restorative tooth alignment:
6mm implant space was opened with expansion of upper arch and proclination of upper anterior without any tipping movement.


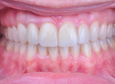
Implant placement and restorative finishing
After implant treatment, due to asymmetric shape of the incisors and with the request of the patient, porcelain laminate veneers was performed on 1.1,2.1 and 2.2


Initial:
The patient presented with Class I malocclusion, crowding, edge to edge bite, missing 1.2 and narrow arches. The main goal of treatment was the treatment was opening 1.2’s implant space.


Post pre-restorative tooth alignment:
6mm implant space was opened with expansion of upper arch and proclination of upper anterior without any tipping movement.


Implant placement and restorative finishing
After implant treatment, due to asymmetric shape of the incisors and with the request of the patient, porcelain laminate veneers was performed on 1.1,2.1 and 2.2
*Case courtesy of Dr. Cihan Capan, Turkey. Visit https://alignglobalgallery.com/ to view other similar cases
A majority of your peers believe in Invisalign treatment to complement restorative treatment.
of surveyed dentists think it’s necessary to have a patient’s teeth in the optimal position before starting any restorative procedures5
of surveyed dentists use Invisalign treatment as pre-restorative technique6.
of surveyed dentists recommend Invisalign treatment as a pre-restorative technique7
of surveyed dentists think it’s necessary to have a patient’s teeth in the optimal position before starting any restorative procedures5
of surveyed dentists use Invisalign treatment as pre-restorative technique6.
of surveyed dentists recommend Invisalign treatment as a pre-restorative technique7
It’s simpler than ever before to start your journey into tooth movement.
Transform your practice in 3 easy steps.


1. Register your interest here
Complete a short registration form to help us connect you to our onboarding team.
2. Become an Invisalign Provider
Complete the online training course with one patient case to put learnings into practice.
3. Start treating patients
You’re ready to offer the most advanced clear aligner system in the world to your patients.8


1. Register your interest here
Complete a short registration form to help us connect you to our onboarding team.
2. Become an Invisalign Provider
Complete the online training course with one patient case to put learnings into practice.
3. Start treating patients
You’re ready to offer the most advanced clear aligner system in the world to your patients.8







